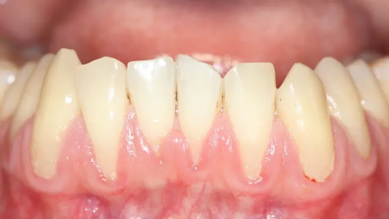
Algunas personas, cuando se miran al espejo, creen que tienen los dientes más largos de lo que sería normal. Además, es posible que noten que el tejido rosa sobre sus elementos dentarios aparenta ser más delgado. Pues bien, lo más probable es que padezcan un problema de encías retraídas.
Este trastorno, además de las consecuencias estéticas, es capaz de afectar el normal funcionamiento de la boca. Por eso es importante abordarlo a tiempo y de la mano de un odontólogo.
¿Qué son las encías retraídas?
La encía o tejido gingival es la parte blanda, firme y rosada que rodea el cuello de los dientes. Es decir, recubre lo que sería la raíz de los elementos dentarios, que en condiciones normales, no podemos ver.
El tejido gingival tiene la función de proteger al hueso y a la raíz dentaria. Además, le otorga firmeza a los dientes para que se conserven en su lugar.
Podemos decir que hay encías retraídas o recesión gingival cuando este tejido se desplaza, dejando visible la raíz. De acuerdo con una publicación científica del año 2015, la condición pone al descubierto la unión entre el cemento dental y el esmalte.
Por ello se provoca el efecto de «dientes más largos». En realidad, cada diente mide lo mismo, solo que ahora somos capaces de notar la raíz, que debería estar bajo la encía.
Descubre: ¿Cuál es la función de las encías?
¿Cuál el es problema de tener encías retraídas?
Más allá de afectar la estética y la apariencia de la sonrisa, hay consecuencias para la salud física al tener retracción gingival. En primera instancia, las raíces, que deberían estar protegidas, quedan susceptibles a la acción de la placa bacteriana.
Además, la raíz es muy sensible a los estímulos externos. Más de la mitad de los pacientes con este problema suelen tener sensibilidad dental, sobre todo al masticar o al cepillarse.
Por otro lado, el cemento dental, que es un tejido que recubre la superficie de las raíces, no está preparado para hacer frente a las condiciones externas. Así que el trastorno se asocia a más riesgo de caries.
La situación se vuelve más frecuente con el envejecimiento. Por la retracción a causa de la edad, los adultos mayores se encuentran más expuestos a desarrollar caries radiculares, o sea, en las raíces de sus dientes.
Síntomas habituales
Además de notar que los dientes parecen más largos o que las encías están más desplazadas hacia arriba o abajo, es posible experimentar algunos síntomas asociados a la retracción, como los siguientes:
Molestias al comer, debido a la sensibilidad dental ante los alimentos fríos o calientes.
Sangrado de las encías, ya que la disposición del tejido favorece su inflamación y su lastimadura con el cepillado.
Mal aliento, por la mayor presencia de placa bacteriana. Esto suele ocurrir porque los pacientes se cepillan menos o con una técnica incorrecta, debido a las molestias que les genera la sensibilidad.
¿Cuáles son las causas de las encías retraídas?
Son variados los orígenes de la retracción gingival. Incluso, es posible que una misma persona combine distintos factores de riesgo al mismo tiempo.
Conocer las causas es importante para tratarlas de manera oportuna y prevenir las encías retraídas. Las siguientes son las circunstancias más asociadas al trastorno.
